Jenis Tumor Otak Berdasarkan Tingkat Keganasannya
Jun. 12, 2023
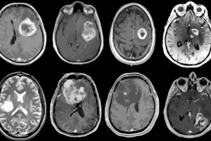
Tumor otak adalah pertumbuhan abnormal sel-sel di dalam otak yang dapat menjadi baik (non-keganasan) atau ganas (keganasan). Jenis tumor otak dapat diklasifikasikan berdasarkan tingkat keganasannya.










